For What Reasons are Zirconium Crowns Performed?
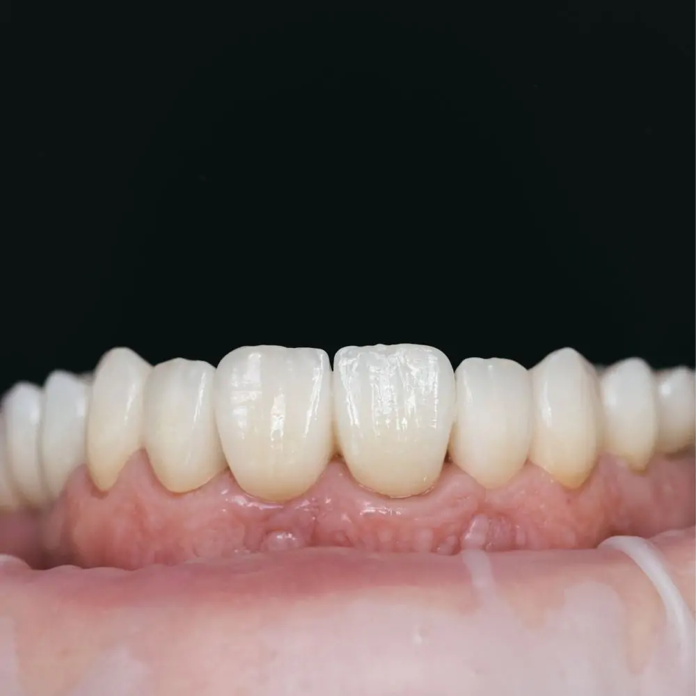
Zirconium crowns are performed to restore the function and appearance of damaged or decayed teeth. They are known for their durability, biocompatibility, and natural appearance, making them an excellent choice for both front and back teeth. Zirconium crowns dental centre Turkey offers advanced techniques to provide high-quality dental restorations that blend seamlessly with natural teeth.
Who is a Good Candidate for Zirconium Crowns Treatment?
Zirconium crowns are suitable for individuals who:
Desire a long-lasting dental restoration that closely mimics natural teeth.
Have damaged or decayed teeth that need restoration.
Require crowns for dental implants.
Seek a durable and aesthetically pleasing solution for their dental issues.
Have metal allergies and need a biocompatible material.
What Should Be Done Before Zirconium Crowns?
Before undergoing zirconium crowns treatment, patients should:
- Consult with a qualified dentist to discuss their needs and determine the best treatment plan.
- Undergo a comprehensive dental examination, including X-rays and possibly 3D scans, to assess the condition of the teeth and surrounding structures.
- Maintain good oral hygiene to ensure the mouth is in optimal condition for the procedure.
- Follow any pre-treatment instructions provided by the dentist, such as avoiding certain foods or medications.
How is Zirconium Crowns Performed in Turkey?
Zirconium crowns in Turkey are typically performed over two visits. During the initial visit, the dentist prepares the tooth by removing any decay and shaping it to fit the crown. Impressions of the teeth are then taken to create a custom crown, which are sent to a dental lab for fabrication. A temporary crown may be placed to protect the prepared tooth until the permanent crown is ready.
In the second visit, the dentist removes the temporary crown and fits the permanent zirconium crown, ensuring it fits perfectly. The crown is then bonded to the tooth using dental cement, and any necessary adjustments are made to ensure a comfortable bite. This two-visit process ensures that the zirconium crown is both functional and aesthetically pleasing, providing a durable and natural-looking solution for damaged or decayed teeth.
Zirconium Crowns Treatment Aftercare in Turkey
After zirconium crowns treatment, patients should follow their dentist’s aftercare instructions to ensure long-lasting results:
- Maintain good oral hygiene: Brush and floss regularly to keep the area around the crown clean.
- Avoid hard foods: Refrain from biting on hard objects that could damage the crown.
- Regular dental check-ups: Visit the dentist for regular check-ups and cleanings to monitor the condition of the crown.
- Address any issues promptly: If you experience discomfort or notice any issues with the crown, contact your dentist immediately.
Why Should You Choose Turkey for Zirconium Crowns?
Turkey has become a premier destination for zirconium veneers due to its combination of highly skilled dentists, advanced dental technology, and cost-effective treatment options. Patients benefit from the expertise of experienced dental professionals who use the latest techniques to ensure high-quality, natural-looking results.
Turkish dental clinics are equipped with state-of-the-art facilities and adhere to international medical standards, providing a high level of safety and care. The zirconium crown cost in Turkey is significantly lower compared to many Western countries, making it an attractive option for those seeking affordable yet high-quality dental restorations. Many clinics offer comprehensive packages that include consultations, the veneers themselves, post-procedure care, accommodation, and transportation, ensuring a seamless and stress-free experience for international patients. The combination of expert care, advanced facilities, and affordability makes Turkey an ideal choice for zirconium veneers.
How Much Are Zirconium Crowns in Turkey?
The zirconium crown price in Turkey is significantly lower compared to many Western countries, making it an attractive option for those seeking high-quality dental restorations at an affordable price. The zirconium crown cost in Turkey varies depending on factors such as the clinic’s reputation, the dentist’s expertise, and the specific needs of the patient. Many dental centres offer comprehensive packages that include consultations, the crowns themselves, and aftercare services.

